Si usted esta embarazada seguramente estará feliz , pero con sentimientos encontrados por la responsabilidad que esto implica, la información contenida en esta página web le servirá muchísimo de apoyo para lograr el objetivo final de tener un bebé sano en casa, a veces es prácticamente imposible para cualquier doctor proporcionar toda la información que una paciente requiere en tan poco tiempo de consulta.
El nacimiento de un niño es motivo de alegría e inquietud. La mayoría de las mujeres dan a luz entre la semana 38 y 42 de su embarazo. Sin embargo, no es posible saber exactamente cuáqndo comenzarán los dolores de parto. El nacimiento por lo general ocurre 2 semanas antes o después de la fecha estimada.
La histerectomía o extirpación del útero (o matriz) es un medio para tratar los problemas que afectan al útero.
Las mujeres tienen problemas de salud únicos. Y algunos de los problemas de salud que afectan a hombres y mujeres pueden afectar a estas últimas de manera diferente.
Un anticonceptivo (anticoncepción) es cualquier método, medicamento o dispositivo que se usa para prevenir el embarazo. Las mujeres pueden elegir entre muchos tipos diferentes de anticonceptivos. Algunos funcionan mejor que otros para prevenir el embarazo.
La leche materna es el mejor alimento para la mayoría de los bebés. Contiene todos los nutrientes que el bebé necesita para crecer y desarrollarse sano durante los primeros seis meses de vida, además de sustancias que lo protegen de numerosas enfermedades.
El parto por cesárea conlleva cuidados especiales para la madre que debe soportar una estancia más prolongada en el hospital y tener de una atención adicional y dedicada durante el posparto de una cesárea, cuando sea la hora de regresar a casa para su recuperación.
Las siglas VPH significan virus del papiloma humano (HPV, por sus siglas en inglés). El VPH se conforma por un grupo numeroso de virus relacionados. A cada variedad de virus en el grupo se le asigna un número, lo que es llamado tipo de VPH.El cáncer cervicouterino o cancer del cuello del útero es un tipo de cáncer que se desarrolla en el cuello uterino de la mujer.
El Síndrome de Down, así como otras cromosomopatías pueden ser descartadas mediante un análisis ecográfico y de hormonas maternas en el 3er mes de embarazo, específicamente; entre las semanas 11 a 13 .6 semanas o que el producto mida entre 45 y 84 mms.
Lorem ipsum dolor sit amet, consectetur adipiscing elit. Sed sed posuere urna. Phasellus cursus ut mauris maximus luctus. Praesent dignissim nunc ultricies lorem suscipit, eu tempor urna iaculis.
Dentro de los muchos avances que ofrece la medicina Actual la FDA (Food and drug administration) por sus siglas en inglés, recientemente aprobó el uso del Láser fraccionado de Co2 en algunas patologías ginecológicas
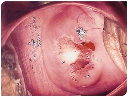
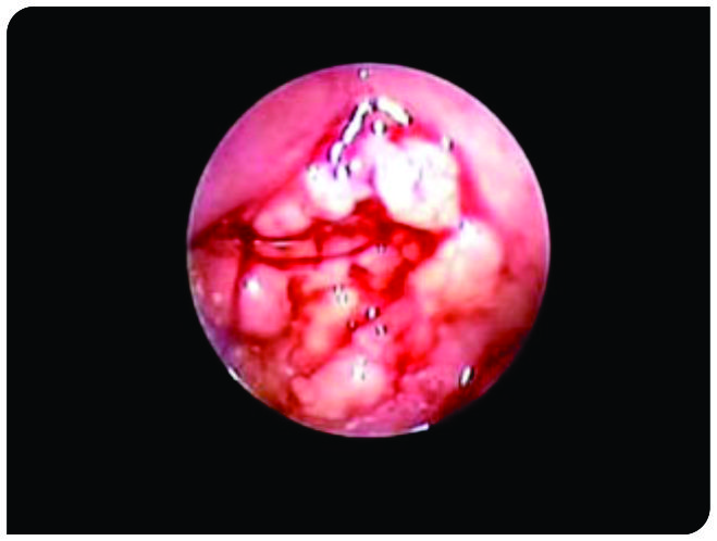
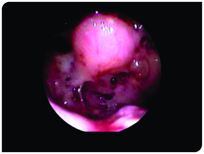
La histeroscopía es un procedimiento clínico que le permite a un ginecólogo ver el interior del útero por medio de una cámara endoscópica.
La causa de la infertilidad puede ser difícil de determinar, pero puede estar ocasionada por niveles inadecuados de ciertas hormonas en los hombres y las mujeres, y por problemas de ovulación en las mujeres
En cualquier etapa de la vida una dieta balanceada es básica para mantener una buena salud. Durante el embarazo la dieta es aun más importante. Los alimentos que ingieren son la principal fuente de nutrientes para el bebé. A medida que el bebé crece necesitará más nutrientes.
Durante el embarazo, las hormonas producidas por la placenta pueden limitar la acción de la insulina. Como resultado, puede presentarse la diabetes gestacional.La diabetes gestacional puede ocurrir aun cuando no se presenten síntomas o factores de riesgo.
Las complicaciones durante el embarazo son problemas de salud que se dan durante el período de gestación. Pueden afectar la salud de la madre, del bebé, o ambas. Algunas mujeres padecen problemas de salud antes de quedar embarazadas, lo cual puede desencadenar complicaciones.
Ahora puedes agendar tu cita, no tienes que hacer filas, es rápido y sencillo
Es la incapacidad de una pareja de lograr un embarazo después de un año de relaciones sexuales sin anticoncepción, esta puede ser temporal o definitiva, dichas parejas deben ser e...
La Medicina Materno fetal es una sub-especialidad derivada de la obstetricia, ésta se enfoca en el embarazo, y su desarrollo relativamente reciente se encuentra íntimamente ligado al des...
La colposcopia es un método útil para el diagnóstico y la evaluación de la neoplasia intraepitelial cervical y el cáncer invasor preclínico. Permite observar,...